本文へスキップ

電話でのご予約・お問い合わせはTEL.011-814-5588

(歯医者ゴーゴーパパ)

〒062-0935 札幌市豊平区平岸5条9丁目6−21 

北水会歯科クリニック

いろいろな審美的治療 1Cosmetic Dentistry 1

 小矯正併用症例 2

 

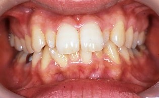
上の両側2番目の歯が先天的に小さな症例です。
普通の大きさの歯にしてきれいな笑顔になりたいとのご希望です。



よく見ると下の前歯の歯並びが悪いですね。
このままでは下の歯が邪魔をしていて上の前歯をそろえることが難しいです。



下の歯を矯正します。約半年で移動が終了します。



上の小さな歯にはメタルボンド冠をかぶせてバランスをとります。

この症例のように、上の前歯をきれいにするために下の歯の矯正が必要になることがあります。

 
症例1
症例3
症例4