電話でのご予約・お問い合わせはTEL.011-814-5588
(歯医者ゴーゴーパパ)〒062-0935 札幌市豊平区平岸5条9丁目6−21
俗にメラニン色素の沈着とも言われますが、喫煙者に多く見られます。 | |
![]() |
ヘビースモーカーの方です。歯に付着したヤニを取ってほしいとのことでした。ヤニ取りが終わった時点で、歯ぐきもきれいにしたいとの希望です。 |
![]() |
特殊な薬剤を塗ります。まず下だけ着手しました。処置は3分くらいで終わります。痛みもほとんどありません。2〜3日で表面がピーリングされてきれいな歯肉になります。 |
![]() |
下は1回ではキレイにならず2回目の処置を行っています。上は1回目の処置です。 |
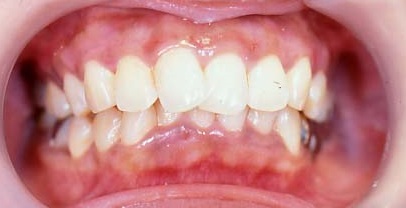
![]() |
キレイになりました。 |
![]() ※歯ぐきピーリングは保険ではできない審美処置になります。料金はご相談下さい。 |
〒062-0935
札幌市豊平区平岸5条9丁目6−21
北水会平岸ビル
TEL 011-814-5588